You have received your COVID19 immunizations and are assigned to the clinic.
You examine a 45-year-old man who presents with a chief complaint of progressive
fatigue and weakness for the past 3 weeks. He may have been running a low grade fever,
but he is not sure. He denies having had rigors or night sweats. His past medical
and family histories are unremarkable.
On Physical exam, you note abnormalities in his oral and retinal exams (Panels
A & B below). The examination, including his vital signs, is otherwise normal. What
is your diagnosis, what test(s) would you order to confirm your suspicions, and what
treatment, if any, do you recommend?
DIAGNOSIS: Acute myeloid leukemia (AML).
AML is a malignancy of stem cell precursors of the myeloid lineage (red blood
cells, platelets, and white blood cells other than than B and T cells). It is a comparatively
rare malignancy, accounting for only 1.2% of all new cancer diagnoses in the United
States per year; however, AML accounts for about one-third of newly diagnosed leukemias.
The majority of cases are the result of idiopathic chromosomal abberations although
a small subset of cases are due to prior chemotherapy or exposure to toxic chemicals
such as benzathine.
The majority of patients with AML present with nonspecific symptoms such as
fatigue and weakness. Some cases are asymptomatic and are discovered on routine blood
work. Others may present with infection, bleeding or disseminated intravascular coagulation.
The diagnosis of AML is made by the finding of >20% blasts in the peripheral
blood and/or bone marrow or through the finding of characteristic genetic abnormalities
in bone marrow myeloid cells regardless of the blast count. Genetic analysis of bone marrow myeloblasts should be done to assign the patient to
a prognostic category (Favorable, Intermediate, or Adverse).
The World Health Organization recognizes six categories of AML: 1. AML with
recurrent genetic abnormalities; 2. AML with myelodysplasia-related changes; 3. Therapy-related
myeloid neoplasms; 4. AML, not otherwise specified; 5. Myeloid sarcoma; and 6. Myeloid
proliferations related to Down syndrome.
The treatment of AML involves initial induction therapy with a continuous infusion
of cytarabine over 7 days with the addition of an anthracycline, typically daunorubicin,
given daily for the first 3 days. This leads to a complete remission in up to 80%
of patients with a favorable prognosis and a 50-60% remission in patients with an
intermediate prognosis. Addition of targeted drugs such as Gemtuzumab ozogomycin (GO),
a monoclonal antibody against CD-33, further improves outcomes in these two prognostic
categories. The two commonly employed postremission therapies designed to prevent
relapse include cytotoxic chemotherapy (e.g. with cytarabine) with or without targeted
drugs, or allogenic hematopoietic stem cell transplantation which, in itself, posesses
a high risk to the patient.
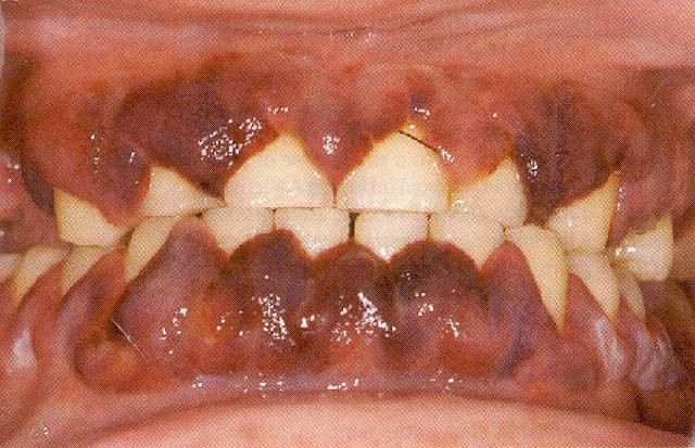
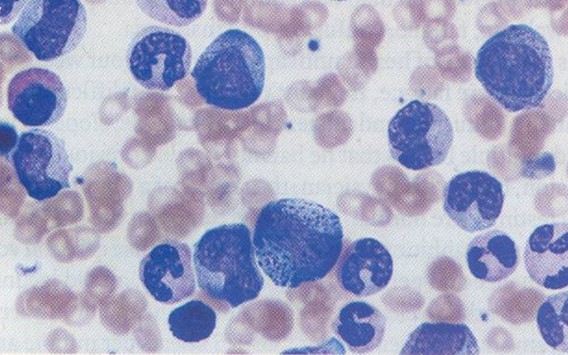
The presented case had gum invasion with myeloblasts (Panel A) and retinal Roth
spots (Panel B). He had an extraordinarily high level of myeloblasts in his peripheral
blood (hyperleukocytic AML) (Panels C and D).
Panel A.

The patient's gums have been invaded with myeloblasts. This is an important sign of AML and should prompt an immediate examination of a peripheral blood smear in both pediatric and adult patients.
Panle B.

Retinal examination revealed two Roth spots (small areas of hemorrhage with central yellow spots). Roth spots are not specific for AML and may be found in other conditions including bacterial endocarditis.
Panel C.

The patient's peripheral blood smear showing > 20% myeloblasts.
Panel D.

Buffy coats (white cell layers) of a normal patient (left) and of the presented case (right). The patient had a white blood cell count of 120,000 - mostly myeloblasts (hyperleukocytic myeloid leukemia).
BONUS QUESTION: Can you solve this crossword puzzle? Answer: causes of death of these famous people. 
Sam Wilson West Parking Lot C...