Because of the resurgence of COVID19 you are still practicing telemedicine.
You are given a case of a previously healthy 56-year-old woman who presented with
a 10-week history of worsening vertigo, nausea and intermittent emesis. About 4-weeks
after the onset of these symptoms she developed slurred speech and a rapidly progressive
ataxia.
Pertinent findings on neurologic examination included dysarthric speech, diminished
pursuit and saccadic overshoot on visual testing, and dysmetria on finger-to-nose
and heel-to-shin testing. She was unable to stand and walk because of ataxia. The
remainder of the examination, including a minimental test and tests of cranial nerve
function, deep tendon reflexes, muscle strength, and sensation to pin and touch, was
normal.
A lumbar puncture showed a normal opening pressure and clear spinal fluid with
8 red blood cells, 97 lymphocytes, 2 monocytes, 1 neutrophil, a protein of 86 mg/dl,
a glucose of 63 mg/dl, and an IgG index of 2.16 (normal 0.28-0.66). A CT scan of her
chest revealed a 1.4 cm lymph node in the right axilla. Her mammogram was negative.
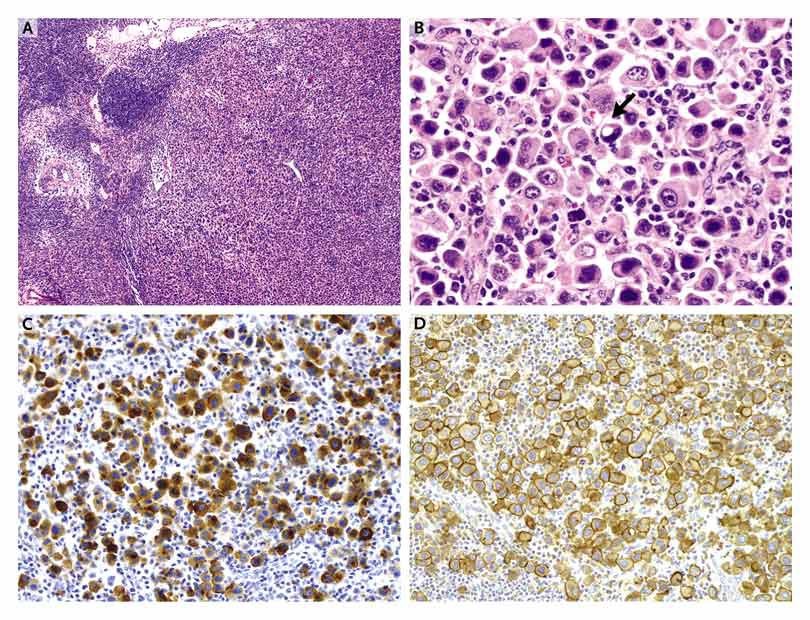
DIAGNOSIS: Paraneoplastic cerebellar degeneration due to anti-Yo antibodies1. Excision biopsy of the patient's right axillary node was consistent with metastasis
from a primary breast cancer. In this regard, less than 1% of patients with breast
cancer present with axillary metastasis as the first clinical manifestation of disease.
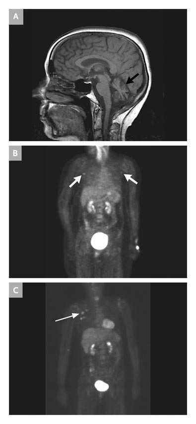
A sagittal T1-weighted MRI scan shows shrinkage of the cerebellar vermis (arrow, top panel) and a PET scan shows small areas of uptake in the axillae (arrows, middle and lower panels)(left image). Excisional biopsy of the right axillary node shows diffuse involvement with gross cystic disease fluid protein-15 positive tumor cells (panel C), a finding see in breast, salivary gland and adrenal tumors.
BONUS QUESTION ANSWERS You have joined the Artenemis space program and are scheduled to land here (see image below) but must first past this true or false test: 1. The gravity here is 3.711 meters/sec2 (True). 2. The organ most likely to be affected by the change in gravity in this location is your skeletal system (True). 3. This area is geologically stable and safe for exploration (False). 4. The white area here is carbon dioxide (False - both water and CO2). 5. Solar radiation is less here than further south (True, except during summer solstice).
1. Dalmau, J., Gonzalez, R.G., Lerwill, M.F. Case 4-2007: A 56-year-old woman with rapidly progressive vertigo and ataxia. N Engl J Med 2007, 356:6, 612-620.
Water Leak Investigation and ...