You are practicing Telemedicine and are asked to make a diagnosis in a 65-year-old
man who presented with the sudden onset of dyspnea and pleuritic chest pain. He has
a past medical history of a "heart condition". On examination he is tachypneic, hyperpneic,
and slightly cyanotic. You are given no other information. His chest x-ray and the
results of a pulmonary ventilation perfusion scan are shown below.
DIAGNOSIS: Systemic distribution of Tc-99m NAA in a patient with severe pulmonary
arterial hypertension (PAH) and consequent reversal of an atrial septal defect shunt
from left-to-right to right-to-left (Eisenmenger syndrome).
This case demonstrates the utility of performing total body Tc-99m MAA imaging
in any patient with a suspected right-to-left shunt of whatever cause. Normally, after
intravenous administration, Tc-99m MAA 20-60 micron particles are trapped in the pulmonary
vascular bed and do not enter the systemic circulation. In persons with a right-to-left
shunt (as seen in the presented case) the particles enter the systemic circulation
and label extrapulmonary organs including the brain, kidneys, spleen, and liver.
Eisenmenger syndrome is seen in persons with end-stage PAH such as occurs in
persons with untreated atrial and ventricular septal defects. Despite treatment with
pulmonary arterial vasodilators (surgery is contraindicated in persons with CHD) patients
with PAH have a two-fold increase in all-cause mortality.

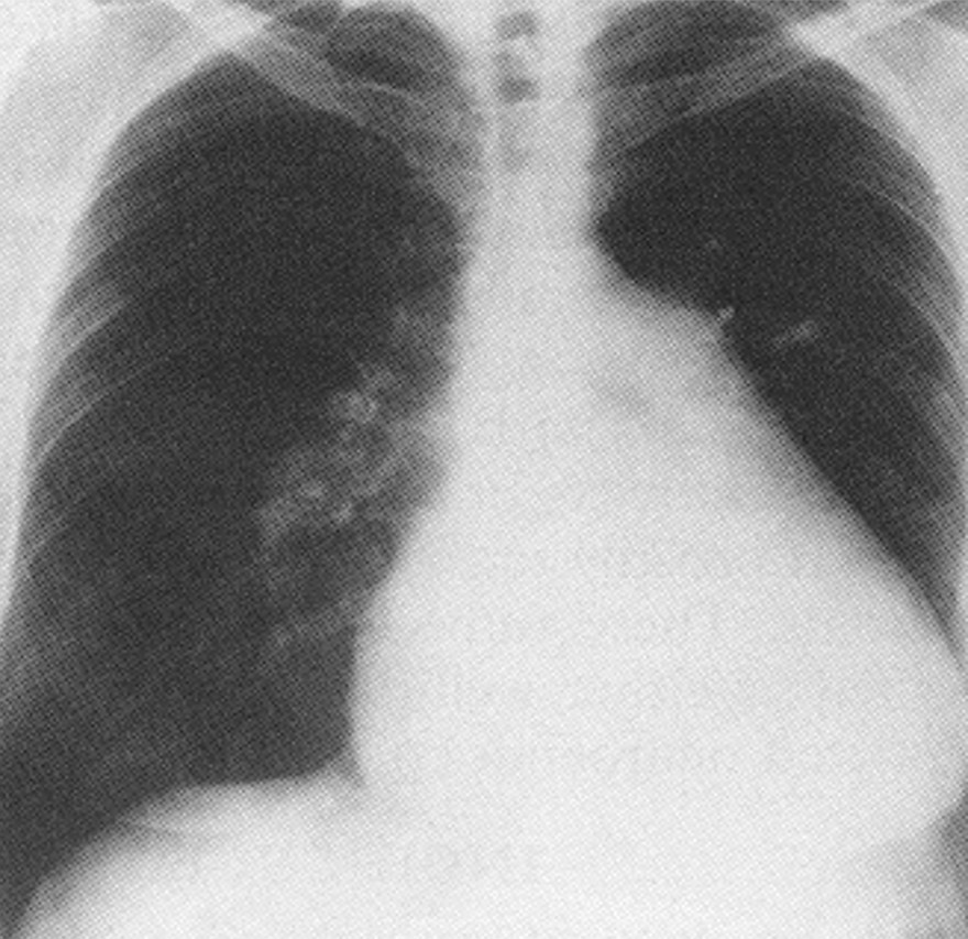
Admitting chest x-ray showing cardiomegaly and pronounced enlargement of the main
pulmonary artery segment - a sign of chronic pulmonary hypertension (left image).
The patient's ventilation perfusion scan with tracer uptake in the lung (lower image)
and brain (upper image) indicating the presence of a right-to-left shunt. There is
decreased uptake in the right upper lobe due to a pulmonary embolus.
BONUS QUESTION: What is your diagnosis? ANSWER: porphuria cutanea tarda
.
Water Leak Investigation and ...