Because of the COVID19 pandemic, you are practicing telemedicine. You interview
a 55-year-old woman who has a 6-month history of low grade fever, progressive dyspnea,
intermittent wheezing, polyarthralgias, and a blotchy erythematous skin rash. A posterior-anterior
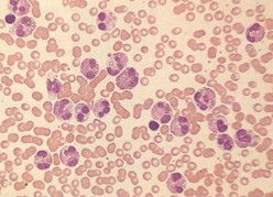
x-ray of her chest, a picture of her skin rash and peripheral blood smear are shown
below.
What is your diagnosis, what lab test(s) would you order to confirm you suspicions,
and what treatment, if any, do you recommend?

DIAGNOSIS: Churg-Strauss syndrome (eosinophilic granulomatosis with polyangiitis)
(EGPA). Antineutrophil cytoplasmic antibody (ANCA)-associated vasculitis is a group
of systemic vasculitides that predominantly effect small vessels; this group includes
granulomatosis with polyangiitis (formerly known as Wegener's granulomatosus), microscopic
polyangiitis, and EGPA. The presented case has all the characteristics of EGPA, including
asthma, interstitial lung disease (chest x-ray), small vessel vasculitis (skin rash),
and eosinophia (blood smear); she was p-ANCA positive.
The editor has chosen to post the excellent answer to last weeks medical mystery
as given by Zar Min, a regular participant in the Medical Mystery challenges. His
response includes an approach to diagnosis and treatment.
Water Leak Investigation and ...