Medical Mystery of the Week
You are asked to evaluate a right-handed 70-year-old women with a 3-month history
of progressive unsteadiness while walking. Within a month of onset of her symptoms
she was unable to walk in a straight line or to remain stable in yoga poses. By two
months after the onset of symptoms she needed the support of walls or furniture to
walk indoors and a cane or her husband's arm to walk outdoors. She also noted a loss
of coordination in her hands and a deterioration in her handwriting. Two weeks before
her visit she developed sudden involuntary movements in her arms that were associated
with loss of positional awareness. She also reported horizontal double vision.
On your examination, the patient is alert, oriented and interactive. Her vital
signs are normal. Her speech is fluent with no dysarthria. She has marked dysmetria
and dysdiadokinesis in both her arms and legs and her gait is wide based and unsteady
with truncal ataxia. Her exam is otherwise within normal limits.
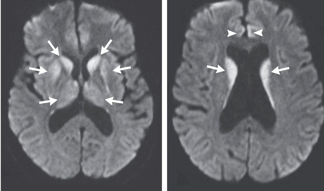
Her CBC and spinal fluid analyses are normal. The results of a MRI of the head
are shown below.
What is your diagnosis, what test(s) would you order to confirm your suspicions,
and what treatment, if any, do you recommend?
DIAGNOSIS: Cerebellar form of Creutzfeldt-Jakob disease (CJD). CJD is due to
the abnormal folding of cellular prion protein (PrPc), a cell-surface glycoprotein of unknown function, into the scrapie form (PrPSc) by means of a post-translational modification. The diagnosis in the presented case
was established by performing a CSF-QuIC assay which has a sensitivity of 92% and
a specificity of 99-100%. There is no effective treatment for CJD.

Axial diffusion-weighted images of the patient's brain. Arrows point to areas of hyperintensity in the basal ganglia and thalami and, less prominantly, the anterior cingulate gyri.
Reference: Chwalisz BK, Buchbinder BR, Schmahmann JD, Samore WR. Case 32-2019: A 70-year-old woman with rapidly progressive ataxia. NEJM 381:16, 2019, 1569-1578.
Water Leak Investigation and ...