You are rotating on the radiology service and are asked to make a unified diagnosis
based on the chest x-rays of three patients, two of whom are immunocompromised.
Patient A: An eleven year old asymptomatic boy who was admitted for an elective tonsillectomy.
Patient B: A 56-year-old man with paraneoplastic Cushing's Disease who developed fever,
rigors, and progressive dyspnea the night before he was scheduled for an adrenalectomy.
Patient C: A 24-year-old woman with acute myelogenous leukemia who developed fever,
rigors and progressive dyspnea while on chemotherapy.
What is your diagnosis, what test(s) would you perform to confirm your suspicions,
and what treatment, if any, do you recommend?
DIAGNOSIS: Cryptococcal pneumonia in an immunocompetent host (A) and in two immunocompromized
hosts (B and C).
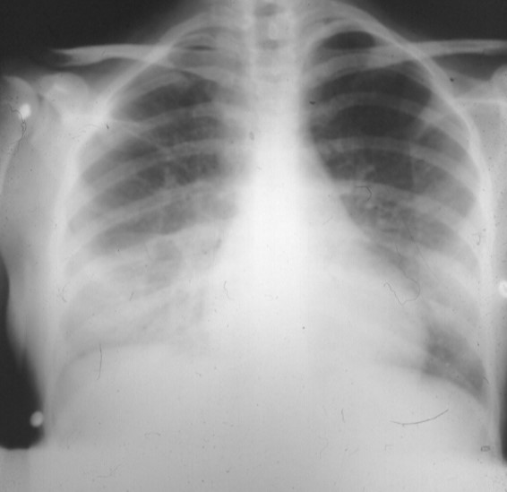
Cryptococcal pulmonary infection in immunocompetent hosts is relatively uncommon.
Usually asymptomatic or accompanied by a nonproductive cough, the chest x-ray shown
in panel A is typical. The mass in the lingular segment of the left lower lobe was
suspected to be a tumor and was biopsied. Histologic examination showed numerous yeast-like
organisms with thick polysaccharide capsules on India-Ink stains. Cultures grew Cryptococcus neoformans. The mass resolved without treatment.
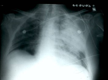
In panels B and C cryptococcal pneumonia was accompanied by cryptococcal fungemia.
Both patients had impaired cell-mediated immunity, in patient B due to his paraneoplastic
Cushings syndrome, and in patient C due to her chemotherapy-induced leukopenia. These
patients received intravenous amphotericin B but, unfortunately, both expired despite
treatment.
A. B.

Lingular segment C. neoformans Left upper lobe C. neoformans pneumonia in a patient pneumonia in a normal host. with paraneoplastic Cushings syndrome.
C.

Bilateral C. neoformans fungemic pneumonia in a
neutropenic patient with AML.
.
Sam Wilson West Parking Lot C...