Medical Mystery of the Week
You are asked to examine a 75-year-old man whose chief complaint is shortness
of breath. Four months earlier a CT scan of his chest revealed "Numerous multifocal
primary consolidative airspace opacities". He failed to respond to broad-spectrum
antibiotics and is referred to you for diagnosis and treatment.
On examination he is hyperpneic with a respiratory rate of 14 breaths/minute
and a regular pulse of 90 beats/minute. Jugular vein examination reveals a negative
Kussmaul sign and cannon A waves. His heart is enlarged 1cm to the left and 2 cm to
the right on percussion. His pulmonic closure sound (S2P) is increased at the base
and at the apex. Lung examination reveals vesicular breath sounds, bilateral diffuse
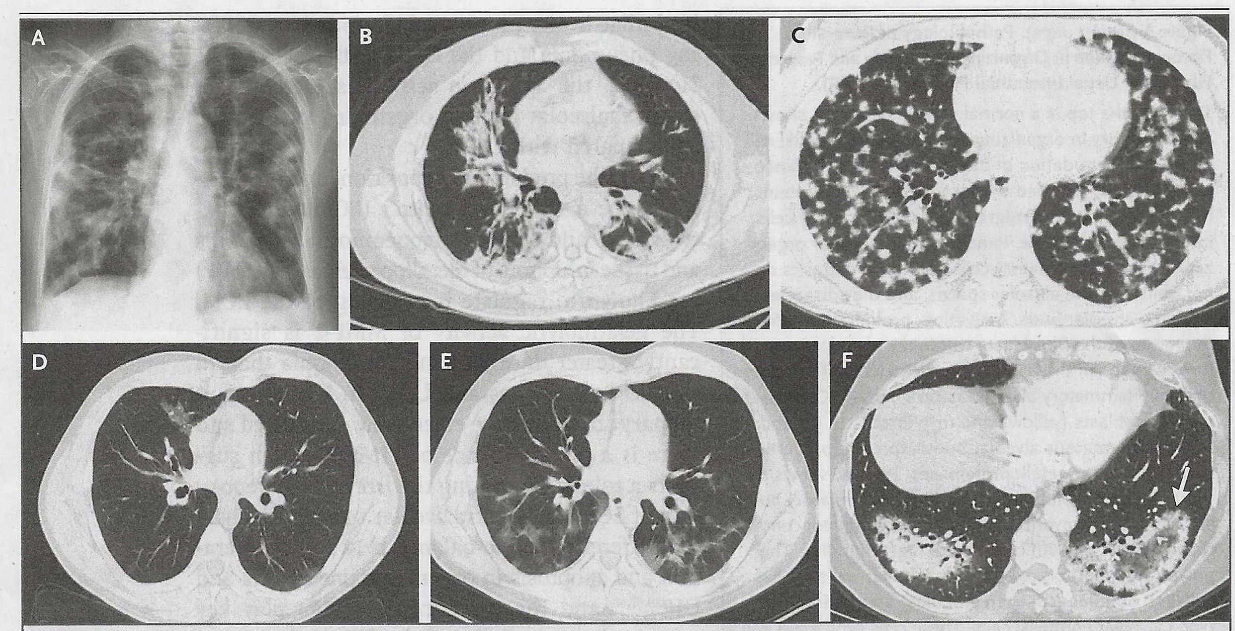
fine inspiratory crackles, egophony, and vocal pectoriloquy. His chest x-ray is shown
below.
DIAGNOSIS: Cryptogenic organizing pneumonia (COP). Formerly known as bronchiolitis
obliterans, COP has no identifiable cause and is classified as a form of idiopathic
interstitial fibrosis. This disorder is estimated to account for 5-10% of interstitial
lung diseases.

On left: patient's chest x-ray showing patchy areas of consolidation and a diffuse increase in interstitial markings (vis-a-vie interstitial fibrosis). These findings were evident during auscultation - diffuse inspiratory crackles (intersitial fibrosis) and egophony and vocal pectoriloquoy (consolidation). This patient had COP-related pulmonary hypertension as indicated by his loud pulmonic closure sound (S2P). On right: chest x-ray and CT scans of other patients with COP.

On left: Pathophysiology of COP versus progressive (usual) interstitial fibrosis (UIP). On right: causes of secondary organizing pneumonia.
Reference: King, TE Jr, and Lee, J.S. Cryptogenic organizinf pneumonia. NEJM. 2022. 386;11:1058-1068
Water Leak Investigation and ...