Medical Mystery of the Week
Because of the COVID19 pandemic, you are practicing telemedicine. You interview
a 44-year-old woman who has a 10-year history of aplastic anemia. She was admitted
to another hospital one month previously for evaluation of three weeks of persistent
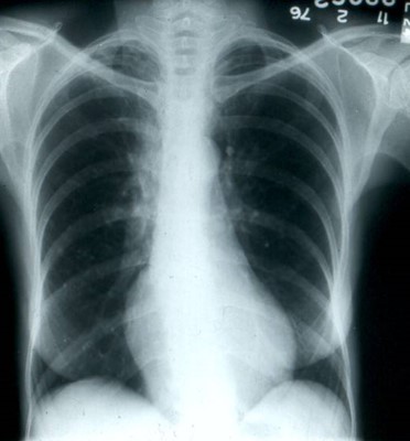
fever. A thorough workup, which included a chest x-ray and blood cultures, did not
reveal the source of her fever and she was discharged. She now presents with persistent
fever and a 10-days history of an expanding purple-colored lesion on her left arm. She
notes that her temperature spikes as high as 38 degrees celsius and is often associated
with shaking chills. With the exception of her fever, the arm lesion, and conjunctival
pallor, her physical examination is reported as being unremarkable.
Her CBC reveals a normochromic normocytic anemia and a leukopenia with a granulocyte
count of 400 cells/cumm. Her metabolic panel is normal, and routine blood cultures
are negative.
Her chest x-ray and a photo of her arm lesion are shown below.
What is your diagnosis, what lab test(s) would you order to confirm you suspicions,
and what treatment, if any, do you recommend?

DIAGNOSIS: Disseminated mucormycosis. Mucor and rhizopus are zygomycetes known for
their propensity to invade vessels (angioinvasion) and/or sinuses of neutropenic and
Type I diabetic hosts causing infarction and syndromes such as rhinocerebral zygomycosis.
These organisms are ubiquitous and seen, for example, as causes of bread mold, culture
contamination, and, on occassion, surgical wound infection.
The source of the dissemination in the presented case was her lungs. Although
her chest x-ray was free of infiltrates, a ventilation profusion scan showed multiple
wedge-shaped areas of non-profusion, findings characteristic of infarction (see left
lower photo, above).
The patient was placed on optimal doses of intravenous amphotericin B. She showed
clinical improvement (some abrogation of fever) but on her 10th day of hospitalization
she became septic with klebsiella and expired. At postmortem, the infarcted areas in
her lungs were confirmed to be the result of angioinvasion with mucor (see right lower
photo, above). A biopsy of the periphery of her skin lesion also showed angioinvasion
with mucor. This fungus belongs to the order mucorales, and is best visualized with
silver methenamine stains as seen in the above micrograph. In contrast to aspergillus,
mucor has broad-based mycelia that branch obliquely.
Aspergillosis, candidiasis, fusariosis, mucormycosis, cryptococcosis, and trichosporonosis
are the most important infections reported in transplant patients, in neutropenic
hosts and in type I diabetics.
The mortality of pulmonary mucormycosis has fallen from 72.1% before year 2000
to 49.8% during the years 2010-2020. The improved mortality is the result of a combined
medical-surgical approach to treatment using combinations of antifungal agents and
surgical extirpation of pulmonary lesions (this would not be feasible in the presented
case). In the absence of sugical removal of infected foci antifungal treatment is
rarely curative.
Amphotericin B, extended-spectrum azoles, and echinocandins are the drugs used
to treat mucomycosis. Unfortunately, there is increasing resistance to all of these
choices emphasizing the need to develop new antifungal agents.
In suseptible hosts, major steps should be taken to avoid their exposure to
these fungi, including the use of air filters and negative room air pressures. With
regard to aspergilli and zygomycetes, the old addage that an ounce of prevention is
worth a pound of cure could not ring more true.
Water Leak Investigation and ...