Medical Mystery of the Week
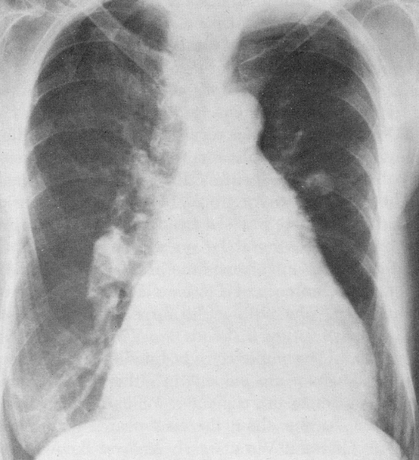
You are asked to read the chest x-ray and interpret the heart sounds of an
eighty-six year old woman who is complaining of dyspnea and who appears mildly cyanotic
on physical examination. The heart sounds were recorded over the left second intercostal
space.
What is your diagnosis, what test(s) would you order to confirm your suspicions,
and what treatment, if any, do you recommend?
DIAGNOSIS: Eisenmenger syndrome secondary to an atrial septal defect.
Eisenmenger syndrome is characterized by severe pulmonary arterial hypertension secondary
to shunt reversal in patients with untreated atrial, ventricular or arterial shunts.
Characteristic findings include cyanosis with secondary polycythemia and dyspnea.
In addition to diagnosing/treating complications (e.g., thromboembolism, "relative"
iron deficiency, endocarditis) patient symptoms and exercise capacity may improve
on endothelial receptor antagonists (e.g., Bosentan) or phosphodiesterase-5 inhibitors
(e.g., Sildenafil). Shunt closure is not an option.
The chest x-ray reveals evidence of right atrial and right ventricular enlargement and severe chronic pulmonary hypertension (enlarged main pulmonary artery segment). In the video, one can hear and see the fixed split of the second heart sound, a finding diagnostic of an atrial septal defect; also noted is a systolic flow murmur.
Water Leak Investigation and ...