Medical Mystery of the Week
Because of your diagnostic excellence, you have been invited to the Medical Mystery
Quizz show which is televised throughout the Universe. You are asked to match the
pictures (A-D) with the EKGs (1-5). ANSWERS: A-3; B-2; C-4; D-5; E-1
A
3 
COPD (blue bloater) Right ventricular hypertrophy (pulmonary hypertension)
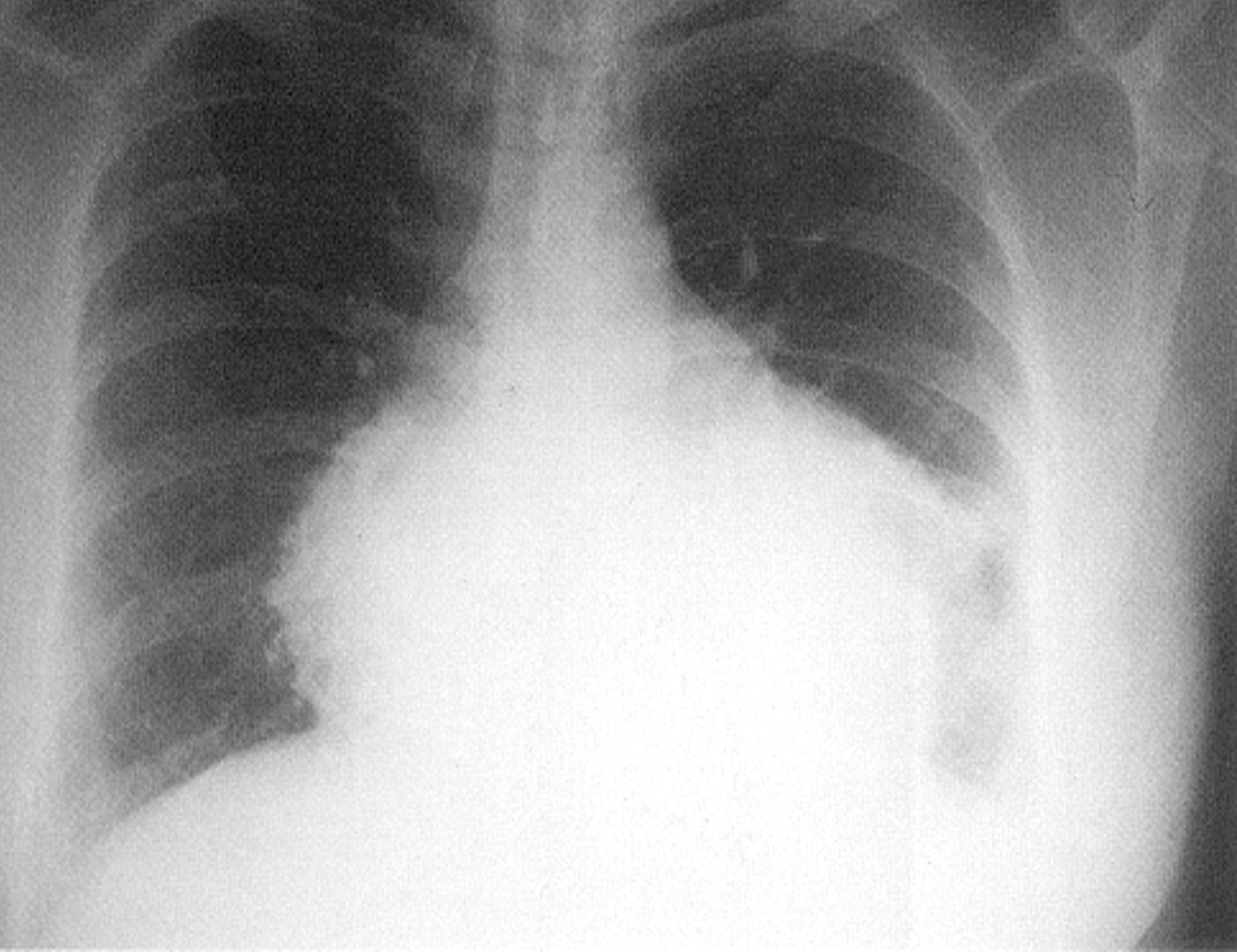
B
2 
Pericarditis with effusion Acute pericarditis
C
4
Pacemaker Marked sinus bradycardia (sick sinus syndrome)
D
5 ![]()
Defibrillator pads Ventricular fibrillation
E
1 
Freezing temperature J waves of Osborn (right after QRS) = hypothermia
Water Leak Investigation and ...