Medical Mystery of the Week
You are on your Infectious Disease rotation and are asked to investigate the
cause of recurrent sepsis in a 65-year-old man who presents with a 10-year history
of pain and swelling of his metacarpal, proximal interphalangeal, wrist, and ankle
joints. More recently, splenomegaly has been noted on physical exam. Bacterial isolates
have included Staphylococcus aureus and Pseudomonas aeruginosa. A complete blood count is notable for the presence of a microcytic anemia and a neutropenia
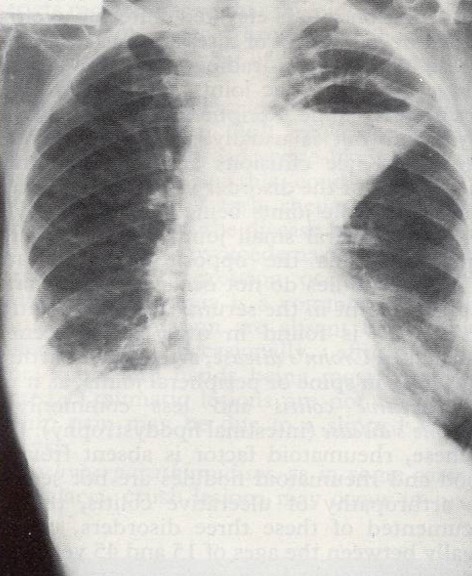
(250 PMNs/cumm). Pictures of his chest x-ray and leg are shown below.
DIAGNOSIS: Felty syndrome.
Felty syndrome (FS) is charactertized by the occurence of leukopenia and splenomegaly
in persons with rhematoid arthritis (RA). It occurs in approximately 1% of RA patients;
those with long-standing RA, rheumatoid nodules, high titers of rhematoid factor,
circulating immune complexes, and/or extraarticular involvement are at greatest risk
of developing FS. More than 85% of FS patients are DR4-positive.
The commonest cause of death in persons with FS is neutropenia associated sepsis. In this regard, the neutropenia of FS may respond to long term
intravenous therapy with recombinant granulocyte colony stimulating factor (GCSF)1.
Left upper lobe abscess, right-sided pleural effusion, and left lingular segmental
pneumonia (left image). Edema, erythema, and venous ulceration in the left lower extremity
(right image). Patients with FS are prone to develope venous stasis ulcerations2.
1. Krishnaswamy G., Odem C., Kalbfleisch J., Baker N., Smith J.K. Resolution of the
neutropenia of Felty's syndrome by long term adninistration of recombinant granulocyte
colony stimulating factor. J Rheumatology 23:763-765, 1966.
2. Lora V., Cerron L., Cota C. Skin manifestations of rheumatoid arthritis. Giomale
Italiano di Dermatologia e Venereologia. 2018. 153(2): 243-255.
Water Leak Investigation and ...