Last Week's Medical Mystery
You are practicing telemedicine and are asked to make a diagnosis in a 53-year-old
man who presents with a chief complaint of "difficulty speaking" of several weeks
duration. His past medical history is positive for hypertension, a "resolved" squamous
cell carcinoma of his left nasal vestibule, and for a nodular thyroid. CT and MRI
scans of his brain are showed below.
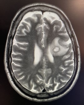
DIAGNOSIS: glioblastoma with expressive (Broca's) aphasia.
Glioblastoma is the most common malignant central nervous system tumor in adults.
The classic MRI finding in patients with glioblastoma is an irregularly shaped rim-enhanced
or ring-enhanced lesion with a central dark area of necrosis.
Although the presented case had a history of squamous cell carcinoma of his
nasal vestibule and a nodular thyroid - both areas of concern - brain metastases from
these sites are rare and are likely to present with more than one non-ring-enhanced
lesion. In this regard, patients with suspected brain metastases should have a total
body scan looking for the primary lesion (most commonly lung, breast, and melenoma).

The coronal T2W MRI shows an irregular ring-enhanced lesion with a small area of central necrosis - all characteristic of a glioblastoma. The white area around the tumor is due to edema. Note the tumor is compressing the lateral venricle. One can see the tumor involves Broca's area, accounting for the patient's expressive aphasia.
BONUS QUESTION: What is your diagnosis? ANSWER: Marfan's syndrome with retro-lenticular dispacement and arachnodactyl.
.
Water Leak Investigation and ...