You are rotating on the medical service and are asked to care for a 56-year-old
man who presents with mental confusion. He is unable to give a history.
On cardiac examination you note the following findings: Observation and palpation - parasternal thrust in
the left 4th-6th intercostal spaces; Percussion - retrosternal dullness; Auscultation
- loud S2P over the left 2nd intercostal space. On abdominal examination you note bulging flanks, an umbilical hernia, shifting dullness, and a hard rounded
liver edge palpable 10 cm below the right costal margin. On neurologic examination you note the following findings: prograde and retrograde amnesia and asterixis.
DIAGNOSES: Hepatopulmonary syndrome with Wernicke's encephalopathy and cor pulmonale.
The hepatopulmonary syndrome is characterized by the triad of chronic liver
disease (usually cirrhosis), pulmonary vascular hypertension, and hypoxemia. In this
disorder the diseased liver fails to screen vasodilators such as nitric oxide. As
a consequence, pulmonary capillaries and arterioles are dilated to the extent that
arterial blood is inadequately oxigenated. The resultant pulmonary arterial hypertension
may lead to cor pulmonale as in the presented case.
The presented case also showed evidence of hepatic decompensation (ascites, asterixis)
and Wernike's encephalopathy (prograde and retrograde amnesia). Wernicke's encephalopathy
is due to thiamine deficiency and thiamine 100mg IV must be given before any glucose containing IV solutions. The encephalopathy has an acute onset and may
be associated with ocular abnormalities (e.g., 6th nerve paresis, ophthalmoplegia)
and truncal ataxia. Pathological findings often include hemorrhages in median dorsal
thalamic nuclei, periaquiducatal grey matter, and mamillary bodies.
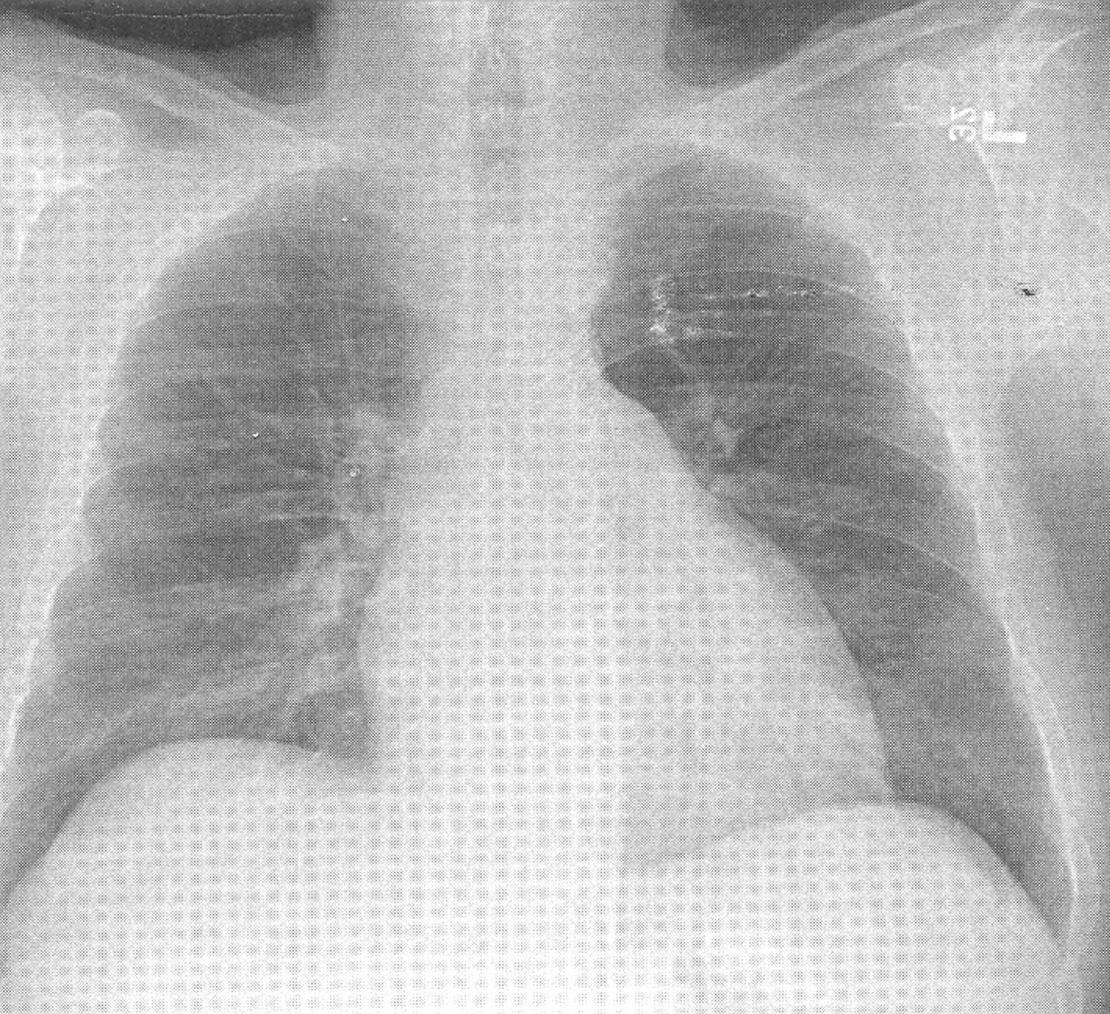
The patient's chest x-ray shows evidence of chronic pulmonary hypertension (cor pulmonale).
Note the prominant main pulmonary artery segment and the rounded left cardiac border
(an enlarged right ventricle). The physical findings of a loud pulmonary artery closure
(S2P), retrosternal dullness, and a parasternal tap are all characteristic of pulmonary
hypertension and right ventricular hypertrophy.
BONUS QUESTION ANSWER: Sister Mary Joseph's nodule - metastatic deposits from any intraabdominal organ or ovaries.

What is your diagnosis?
In order to receive credit please email your answers to smithj@etsu.edu
.
Water Leak Investigation and ...