Medical Mystery of the Week
You have recieved your COVID19 immunizations and are asked to examine a 33-year-old
policeman from Queens, New York. He was transferred to your care from a nearby hospital
for diagnosis and treatment. You are provided with the following information: a recent
chest x-ray (Panel A below) and a Gram stain of his sputum (Panel B below).
You are unable to get a history from the patient but his wife tells you his
illness started with fever, chills, a nonproductive cough, and some mild diarrhea.
She tells you he has been working undercover in Queens New York to expose a drug cartell.
Your examination reveals a temperature of 38.5°C, a respiatory rate of 22 breaths/minute,
a pulse rate of 120 beats/minute, and a blood pressure of 110/70 mmHg. The patient
is comatose without meningismus or focal neurological findings. Examination of his
left lung posteriorly reveals dullness, inspiratory crackles, and bronchial breath
sounds.
Laboratory findings include an elevated serum creatinine and BUN, a markedly
elevated serum CPK, a peripheral blood leukocytosis of 22,000 cells/cc with 90% neutrophils,
and myoglobinuria.
What is your diagnosis, what test(s) would you order to confirm your suspicions,
and what treatment, if any, do you recommend?
DIAGNOSIS: Bilateral pneumonia, encephalopathy, and rabdomyolysis-induced renal
failure due to infection with Legionella pneumophila.
L. pneumophila causes ˜90% of Legionnaires Disease (LD) cases. Other, less common causes include
L. micdadei, L. bozemanii, L. dumoffii, and L. longbeachae. These members of the Legionellaceae family are small, aerobic, waterborne, nonmotile,
oxidase and catalase positive bacilli.
Fifteen serogroups of L. pneumophila have been identified with serogroups 1, 4 and 6 identified as the cause of human
disease. Serogroup 1 is thought to be responsible for 80% of the reported LD cases.
Bacteria of the genus Legionella are natural pathogens of environmental amoebae.
They are found in water sources such as cooling towers and water distribution networks
and may resist eradication by forming biofilms. Human disease results from inhalation
of Legionella-contaminated aerosols and subsequent bacterial replication within alveolar
macrophages.
Resistance against L. pneumophila is cell-mediated with T helper cell type I (TH1) secretion of interferon gamma and
consequent activation of Type 2 macrophages playing a critical role in host defense.
Antibiotics used in the treatment of LD include macrolides, fluoroquinolones,
rifampicin and doxyclycline.
The presented case was treated with rifampicin and doxycycline and slowly recovered
from his illness. As it turns out, he was working undercover in Macy's Department
Store in Manhattan, New York, and was the index case for an outbreak of LD in the
store. He was a patient of the Medical Mystery of the Week's editor in the 1970s.

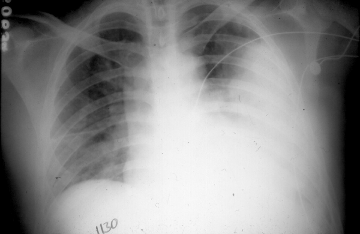
Panel A. A portable chest x-ray obtained on admission of the patient to your care.
The x-ray shows a consolidating pneumonia of the left lower lobe and a right-sided
patchy "atypical" pneumonia and median fissure effusion.

Panel B. A Gram stain of the patient's sputum shows macrophages and polymorphonuclear leukocytes but no L. pneumophila (top picture), whereas a silver stain shows the organisms (arrows) and is the preferred sputum stain (bottom picture).

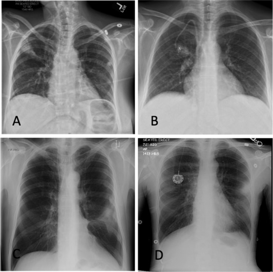
Panel C. Four chest x-rays of patients with early stage LD.
PLEASE NOTE: Bacterial suprainfection, including with Legionella pneumophila, is common in patients with COVID-19 pneumonia and may be the cause of death. Thus, it is critical to monitor (stains and cultures) sputum samples from these patients and to initiate appropriate antimicrobial treatment when suprainfection is documented
Water Leak Investigation and ...