Last Week's Medical Mystery
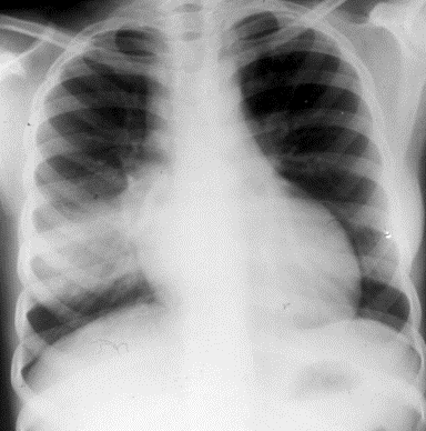
A 14-year-old girl with sickle cell anemia presents with 3 days of a persistent nonproductive cough, fever, malaise, anorexia and one day of right-sided pleuritic chest pain. Her physical examination is notable for a temperature of 39.7°C, a pulse of 110 beats/min, a respiratory rate of 22 breaths/min, and a BP of 110/60 mmHg. Dullness and inspiratory crackles are noted over the right middle lobe. Her neurologic exam is normal and she has no evidence of a sickle cell crisis. Her chest x-ray is shown below.
She failed to respond to 3 days of penicillin, but became clinically well and afebrile after 6 days of combined treatment with cephalothin and chloramphenicol. Nine days after admision, while waiting to be discharged, she complained of a headache, became lethargic, and her fever spiked to 39°C. Her condition rapidly deteriorated and 11 days after adminission she lapsed into coma. Her CSF revealed a protein of 110 mg/dL, a normal glucose, increased numbers of rbcs, and a mononuclear pleocytosis. No organisms were seen on Gram stain. She was placed on parenteral treatment with erythromycin, choramphenicol, and ampicillin.
What is your diagnosis, what test(s) would you order to confirm your suspicions, and what treatment, if any, do you recommend?

DIAGNOSIS: Mycoplasma pneumonia with post-infectious meningoencephalitis.
The hallmark of post-infectious neurologic syndromes is that they occur not at the onset of the infection, but - depending on whether the peripheral or central nervous systemi is involved - days (CNS) or weeks (PNS) after the infection often when the immune response is peaking (see graph of the presented case's course above). In addition to meningoencephalitis, M. pneumoniae is reported to cause encephalitis (5-7%), Guillain-Barrë syndrome, aseptic meningitis, cranial neuropathy (e.g. Bell's palsy), acute psychosis, cerebellar ataxia, acute demyelinating encephalomyelitis, cerebrovascular thrombosis, and transveres myelitis. The presented case gradually improved on reinstitution of antimicrobial therapy - which may or may not have contributed to her recovery.
Water Leak Investigation and ...