Medical Mystery of the Week
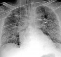
As an expert in all things medical, you are asked to correlate the images below (A-D) with the potential medical complications/causative agents (1-4)
A B
C D

1 2

3 4

To receive credit, please submit your answers to smithj@etsu.edu.
Water Leak Investigation and ...