Medical Mystery of the Week
You have recieved your COVID19 immunizations and have returned to your outpatient
practice. However, you are still doing telemedicine, and are shown the chest x-rays
of two young women who have completed a course of chemotherapy for grade 4b Hodgkins
disease. They subsequently developed low grade fever, chronic non-productive coughs,
and abnormal chest x-rays (see below). You are told that their sputum cultures are
growing "something" that has yet to be identified.
What is you diagnosis, what test(s) would you order to confirm your suspicions,
and what treatment, if any, do you recommend?

DIAGNOSIS: Nocardia asteroides pulmonary infection in two patients with impaired cell-mediated immunity due to Hodgkin's
disease.
The lung is the most common site of infection with nocardia, an aerobic Gram positive
and modified acid fast positive saprophytic soil organism. A higher order bacterium,
the organism is a branching coccobacillus. On Gram stain it resembles actinomyces
spp which are anaerobic and acid fast negative.
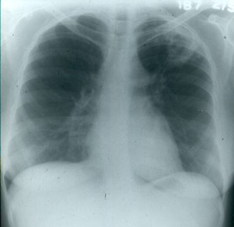
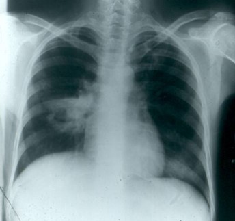
Pulmonary infection with nocardia may mimic tuberculosis in all of its forms (cavitary,
miliary, or nodular infiltrates) and/or tumor (mass lesions) as seen in the two presented
cases - the one on the left with a cavitating mass lesion, the one on the right with
an apical cavitary lesion.
Although the lung is the most common site of infection with nocardia, skin infection
due to hematogenous dissemination or direct innoculation can occur and present as
multiple pustules or nodules sometimes accompanied by lymphadenitis. Nocardia is also
a well known cause of brain abscesses, accounting for about 2% of these infections.
Nocardiosis typically occurs in persons who are immunocompromised. Patients with
pulmonary aveolar proteinosis are also predisposed to pulmonary infection.
Trimethoprim-sulfamethoxazole is the initial drug of choice for nocardia infections,
although Linezolid may serve as an alternative. Disseminated infection requires a
six month or longer multidrug regimen, which, in addition to trimethoprim-sulfamethoxazole,
may include imipenem, third generation cephalosporins, and/or amikacin.
Sam Wilson West Parking Lot C...