Last Week's Medical Mystery
You are rotating on your radiology rotation and are asked to interpret an MRI
(gadolinium enhanced) in a 55-year-old man who is complaining of a persistent headache
and pain in his jaw when he eats.
What is your diagnosis, what test(s) would you order to confirm your suspicions,
and what treatment, if any, do you suggest?
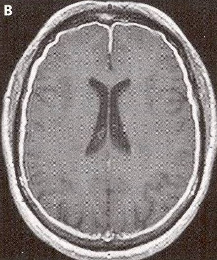
DIAGNOSIS: Pachymeningitis.
Because of its excellence, and with his permission, I am posting below the response
of Zach DeBerry, class of 2024, who came to an accurate diagnosis and appropriate
diagnostic and treatment plans.. 
Dural thickening (white margin) is evident in this MRI of the brain.
.
Water Leak Investigation and ...