Medical Mystery of the Week
You are asked to make a diagnosis in this 42-year-old man who is complaining
of difficulty in climbing stairs and getting up from chairs.
DIAGNOSIS: Polymyositis (PM).
Inflammatory disorders of skeletal muscle include PM, dermatomyositis (DM),
necrotizing myopathy (NM), overlap syndrome with myositis (OM), anti-synthetase syndrome
(ASS), and inclusion body myositis (IBM). Although DM occurs in children and adults,
all other forms of myositis occur mostly in middle-aged adults.
Apart from the slowly progressive course in IBM, patients with myositis typically
present with a subacute onset of arm and leg weakness, myalgias, and elevated serum
creatinine kinase levels. Proximal muscle weakness is present in most cases although
distal musculature weakness involving finger flexion may be present in DM and IBM.
Distinction between the various myopathies is based on clinical findings, the
results of radiographic studies, electromyography, autoantibody assays, and muscle
biopsies.
PM, DM and most patients with NM and OM usually respond to immunosuppressive
therapy whereas IBM is largely refractory to treatment.

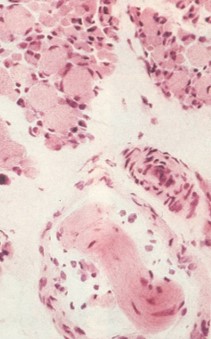
Atrophy of the arm muscles is evident in this picture of the presented case (left image). Lymphocytic aggregates (middle image) and fibrosis (right image) are noted in his muscle biopsy.
Sam Wilson West Parking Lot C...