You are rotating on the pediatric wards and are asked to make a diagnosis in a 3-year-old
girl who was admitted because of recurrent fevers and progressive shortness of breath.
Examination of her lungs reveals diffuse inspiratory crackles and signs of patchy
consolidations bilaterally. Her hemoglobin level is 5.3 mg per deciliter (reference
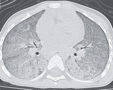
range 11.6 to 14.8). A CT scan of her chest is shown below. What is your diagnosis,
what test(s) would you order to confirm your diagnosis, and what treatment, if any,
do you recommend?
DIAGNOSIS: Idiopathic pulmonary hemosiderosis (IPH). IPH is a disorder of unknown
etiology that is characterized by recurrent pulmonary hemorrhage with the consequent
development of pulmonary fibrosis and iron deficiency anemia. Described postmortem
by Virchow in 1864 the first antemortem diagnosis of IPH was made by Waldenstrom in
1994. A rare disorder (0.24 to 1.23 cases/million) it is treated with immunosupressants
(glucocorticoids, hydroxychloroquine, azathioprine, cyclophosphamide). Hemosiderin
ladened macrophages are found on lung biopsy and in brochoaveolar lavage specimens
(see below).

Chest x-ray ishows diffuse pulmonary hemorrhage with elements of pulmonary fibosis.
Below see a picture of hemosiderin ladened macrophages taken from a bronchoscopy aspiration.

.
Water Leak Investigation and ...