Medical Mystery of the Week
Despite the resurgence of COVID19 you are still seeing patients on the wards.
You examine a 35-year-old-man who has been admitted four times over the past year
for evaluation of a non-productive cough. His epidemiological history is negative
for exposure to coal dust, asbestos, talc, toxic fumes, or infectious diseases, and
he has had no travel outside his place of residence. He is not allergic to molds,
dust, or seasonal allergens.
On examination he is coughing repeatedly with varying degrees of intensity.
His pulse is regular at 77 beats/minute, respirations hyperpneic at 24 breaths/minute,
blood pressure 122/70 mm Hg, and temperature 99.0 degrees F. Lung examination reveals
patchy areas of dullness over the right lower lobe and bilateral lower lobe inspiratory
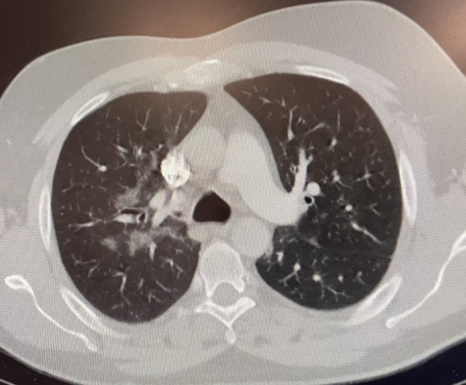
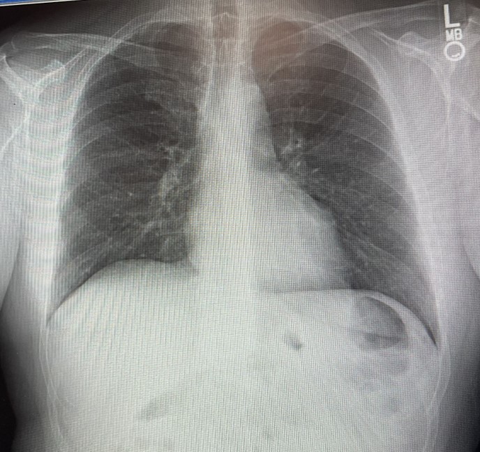
and expiratory wheezes. His chest x-ray, chest CT scan and a picture of one of his
thumbnails is shown below.
What is your diagnosis, what test(s) would you order to confirm your suspicions,
and what treatment, if any, do you recommend?
DIAGNOSIS: Recurrent aspiration secondary to a tracheo-esophageal fistula (TEF).
TEFs are divided into two main categories - congenital and acquired. Congenital
TEFs are usual due to esophageal atresia, whereas acquired TEFs are seen primarily
in adults with a malignancy (most commonly esophageal or lung cancer) or secondary
to blunt trauma to the neck or chest, prolonged mechanical ventilation via an endotracheal
tube or tracheostomy, traumatic airway injury, granulomatous mediastinal infections
(e.g. tuberculosis or histoplasmosis), stent-related injuries, or ingestion of foreign
bodies or corrosive products. In one series involving >200 patients, the most common
symptoms of TEF were cough (56%), fever (25%), dysphagia (19%), hemoptysis (5%) and
chest pain (5%). Five percent of patients had pneumonia. Ono's sign (worsening cough
with swallowing solids and/or liquids) was present in 81% of cases.
Esophagography and endoscopy are performed to confirm the diagnosis of TEF which
is treated by stent implacement in the esophagus and/or trachea.

A PA of the chest shows RLL infiltrates (left image). A CT scan of the chest confirms the presence of RLL infiltrates (right image).

This picture of the patient's thumb nail shows multiple Beau's lines (horizontal indentations of the nail), each reflecting an aspiration event of varying intensity and duration (the nails grow on average ∼0.1 mm/day). Coincident with the Beau's lines are the white lines of Mees and Aldrich.
Citation: Kim, H.S., Khemasuwan, D., Diaz-Mendoza, J., Mehta, A.CF. Management of tracheo-oesophageal fistula in adults. Eur Resp Rev. 2020; 29:200094
Water Leak Investigation and ...