Medical Mystery of the Week
You are still practicing telemedicine. You are shown the chest x-ray and the
results of a diagnostic thoracentesis of a 45-year-old man with a long history of
joint pains.
DIAGNOSIS: Rheumatoid arthritis (RA) with a rheumatoid pleural effusion.
The most common extra-articular manifestations of RA involve the lung and/or
pleura. These may include interstitial lung disease, pleural effusions, cricoarytenoiditis,
constrictive or follicular bronchiolitis, bronchiectasis, pulmonary vasculitis, and
pulmonary hypertension.
Rheumatoid pleural effusions are most common in middle-aged men. Although usually
transient and small, they may be large and persistent as in the presented case. Untreated,
they may cause an ipsilateral fibrothorax.
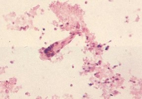
The chest x-ray shows a large left-sided pleural effusion and a small area of
consolidation in the right lower or middle lobe (left image). A microscopic view
of the patient's pleural fluid shows a classic "comet cell" - a comet-shaped fusion
of epithelial cells - as well as leukocytes and cellular debris. The effusion also
contains high levels of rheumatoid factor and immune complexes, and a characteristically
low pH and glucose level (right image).
Water Leak Investigation and ...