Medical Mystery of the Week
Because of the COVID19 pandemic, you are practicing telemedicine. You are shown the
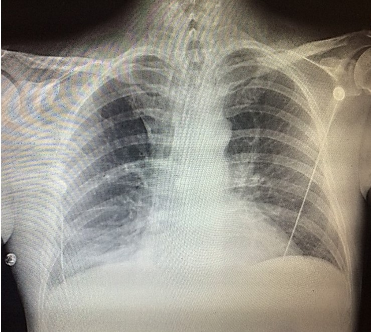
chest x-rays and an EKG of a 65-year-old man who is complaining of shortness of breath.
What is your diagnosis, what test(s) do you recommend to confirm your suspicions,
and what treatment, if any, do you recommend?


DIAGNOSIS: S1Q3T3 pattern in a patient with pulmonary embolism (note the right lower
lobe infiltrate in the PA film and the wedge-shaped infiltrate in the lateral film).
EKG findings in patients with pulmonary embolism and no previous cardiopulmonary
disease may (or may not) include the S1Q3T3 pattern, right bundle branch block, right
atrial enlargement, right axis deviation, T wave inversions in the early precordial
leads (V1, V2), and, of course, tachycardia. Importantly, the finding of right bundle
branch block portends a large embolus obstructing the main pulmonary trunk; the S1Q3T3
sign is present in about 60% of these cases.
Transthoracic echocardiography may show McConnell sign (right ventricular-free wall hypokinesia with a hyperkinetic apex) and other signs of acute cor pulmonale.
In patients with large pulmonary emboli, physical findings are in keeping with
acute right heart strain. Findings may include evidence of right ventricular enlargement
(retrosternal dullness and a left parasternal thrust or tap), right atrial enlargement
(jugular vein cannon A waves), and auscultory findings of pulmonary hypertension (loud
S2P at base, S2>S1 at apex). If the embolus has fragmented and migrated to the periphery,
the patient may have pleuritic chest pain, dullness over the infarcted segment/lobe,
and one or more pleural friction rubs.
Keep in mind that other causes of acute cor pulmonale can produce similar findings
on EKG. For example, the S1Q3T3 sign has been described in a pregnant asthmatic patient
during acute bronchospasm.
Water Leak Investigation and ...