Medical Mystery of the Week
You have recieved your COVID19 immunizations and are practicing traditional
medicine.
Your case is a 63-year-old woman who was admitted to an ENT service for surgical treatment
of chronic bilateral maxillary sinusitis (see panel A, below).
Her past medical history is pertinent for bilateral iritis (anterior uveitis)
for 1.5 years, coronary heart disease s/p myocardial infarction 11 years previously,
calcium phosphate renal calculi, mild hypertension, and hyperlipidemia.
Her review of systems is positive for intermittent pain in the right side of
her nose for ∼
one year, episodic mild wheezing, and occassional precordial chest pain. Her medications
include propanolol, isosorbide, hydrochlorothiazide, nitroglycerine, theophylline,
a calcium supplement, and eye drops.
On your examination her temperature is 36°C, blood pressure 150/70 mm Hg, respirations
20 breaths/minute, and heart rate 82 beats/minute. Positive findings include bilateral
anterior uveitis, bilateral cataracts, a systolic bruit over the right carotid artery,
and a grade 2 systolic murmur. The paranasal sinuses were not tender to palpation
or percussion.
Pertinent lab findings include a hematocrit of 37.3 percent, a white blood cell
count of 20,700 with 91% neutrophils, 1% band forms, 5% lymphocytes, and 3% monocytes,
and a platelet count of 455,000. Renal and liver function tests were within normal
limits. An EKG showed nonspecific ST-segment and T wave abnormalities. A CT scan performed
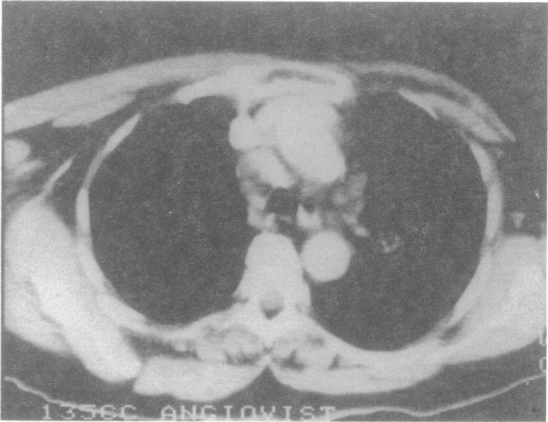
with contrast is shown in panel B below.
What is your diagnosis, what test(s) would you order to confirm your suspicions,
and what treatment, if any, do you recommend?
Panel A. Radiograph of the paranasal sinuses showing complete opacification of both maxillary sinuses. There is no evidence of bone erosion.

Panel B. Computerized tomographic scan performed with contrast demonstrating bilateral mediastinal adenopathy.
DIAGNOSIS: Sarcoidosis. Sarcoidosis is a non-caseating granulomatous disease that
can involve virtually any organ, including the nose and paranasal sinuses.
The main clues to the diagnosis in the presented case is the finding of bilateral
hilar and paratracheal adenopathy in conjunction with anterior uveitis. The diagnosis
was confirmed by performing a biopsy of the mediastinum which showed extensive replacement
of lymph node tissue by confluent noncaseating acid fast and culture negative granuloma.
There was no evidence of vascilitis as seen in Wegener's granulomatosis.
The patient underwent bilateral Caldwell-Luc operations which revealed bilateral
maxillary exudates containing both anaerobic and aerobic organisms - this secondary
infection accounting for her leukocytosis. Histologic examination of biopsy specimens
from the inferior turbinates revealed noncaseating granuloma characteristic of sarcoidosis.
The differential diagnosis of granulomatous nasal lesions includes infection
(fungi, leprosy, tuberculosis, syphilis), atrophic rhinitis, sarcoidosis, lymphoma,
lupus erythematosus, histiocytosis X, Wegener's granulomatosis, polymorphic reticulosis,
and the Churg-Strauss syndrome.
In addition to sarcoidosis, noninfectious (immune-mediated) causes of uveitis
include HLA-B27 acute anterior uveitis, juvenile idiopathic arthritis, intermediate
uveitis, Behcet's syndrome, Vogt-Koyanagi-Harada syndrome, sympathetic ophthalmia,
and white dot syndromes.
The treatment of noninfectious uveitis consists of corticosteroids (topical
used in the presented case), immunosuppressive agents, and surgically placed steroid
implants.
Water Leak Investigation and ...