Medical Mystery of the Week
While practicing Telemedicine, you are asked to make a diagnosis in a 22-year-old
man from New York City who presents with a two week history of fever, rigors, and
fleeting pleritic chest pains involving both lungs. You are shown his chest x-ray
and given a recording of his heart (see below) but are provided no other information.
What is your diagnosis, what test(s) would you order to confirm your suspicions,
and what treatment, if any, do you recommend?
DIAGNOSIS: Staphylococcus aureus tricuspid endocarditis with septic pulmonary emboli, a right-lower lobe abscess,
and a murmur of tricuspid insufficiency (TI). The infection was acquired during the
intravenous injection of contaminated heroin.
Right-sided endocarditis (RSE) accounts for ∼5-10% of cases of infective endocarditis
with the tricuspid valve being involved in 95% of cases.
As in the presented case, RSE is strongly associated with intravenous drug use
with S. aureus being the most common infecting organism. Other risk factors for RSE include pacemaker
wires, defibrillator leads and vascular access for hemodialysis.
Most cases of bacterial RSE are successfully treated with antibiotics, although
5-16% will eventually require surgical intervention with valve repair (preferred)
or valve replacement. In contrast, RSE due to fungi (most commonly Candida albicans) usually requires valve replacement.
The presented case responded to treatment with intravenous antibiotics.

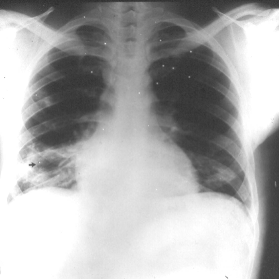
The patient's chest x-ray shows evidence of right atrial enlargement, a right lower lobe abscess (arrow), and patchy infiltrates in the right upper lobe and the left lower lobe. The tiny white dots are artifacts.
Click here to listen to the patient's heart
The recording is typical of TI - a blowing holosystolic murmur that increases with inspiration.
Sam Wilson West Parking Lot C...