Medical Mystery of the Week
You have recieved your COVID19 immunizations and are seeing patients in the
medical clinic. Your first patient is a 59-year-old man of Greek descent who presents
with a two-year history of anorexia and an unintended weight loss of 16 kg. He had
visited a city in Brazil for a month on four occassions in the preceding six years
but had no illnesses or exposure to ill persons during theses visits.
On physical exam the patient appears thin but otherwise well. His blood pressure
is 90/60 mm Hg, pulse 76 beats/minute, respirations 14 breaths/minute, and temperature
37.5°C. His skin and palmar creases are deeply pigmented. His general exam, including
a neurological, is within normal limits.
Laboratory tests done two months previously revealed a hematocrit of 33.6 %, a white blood cell
count of 12,100 with 79% neutrophils, 15% lymphocytes, 3% monocytes, and 3% eosinophils.
His platelet count was 322,000 cells/mm3. A stool guaiac test was 1+ positive.
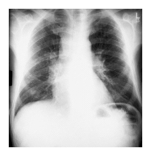
A chest x-ray (Panel A), CT scan of the chest (Panel B) and abdomen (Panel C),
and the results of a barium-enema examination of the small bowel (Panel D) are shown
below.
What is your diagnosis, what test(s) would your order to confirm your suspicions,
and what treatment, if any, do you recommend?
Panel A.
Panel B

Panels C & D


BONUS QUESTION. What is your diagnosis?

In order to receive credit please email your answers to smithj@etsu.edu.
Water Leak Investigation and ...