Medical Mystery of the Week
You have recieved your COVID19 immunizations and are seeing patients in the
medical clinic. Your first patient is a 59-year-old man of Greek descent who presents
with a two-year history of anorexia and an unintended weight loss of 16 kg. He had
visited a city in Brazil for a month on four occassions in the preceding six years
but had no illnesses or exposure to ill persons during theses visits.
On physical exam the patient appears thin but otherwise well. His blood pressure
is 90/60 mm Hg, pulse 76 beats/minute, respirations 14 breaths/minute, and temperature
37.5°C. His skin and palmar creases are deeply pigmented. His general exam, including
a neurological, is within normal limits.
Laboratory tests done two months previously revealed a hematocrit of 33.6 %, a white blood cell
count of 12,100 with 79% neutrophils, 15% lymphocytes, 3% monocytes, and 3% eosinophils.
His platelet count was 322,000 cells/mm3. A stool guaiac test was 1+ positive.
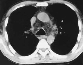
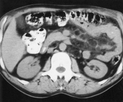
A chest x-ray and CT scan of the chest (Panel A) and a CT scan of the abdomen
and a barium-enema examination of the small bowel (Panel B) are shown below.
What is your diagnosis, what test(s) would your order to confirm your suspicions,
and what treatment, if any, do you recommend?
DIAGNOSIS: Whipple's Disease.
Whipple's disease is caused by the actinobacterium Tropheryma whippelii. The disease mainly involves the intestine but can also affect other organs systems
as seen in the presented case. Common manifestations include weight loss, diarrhea,
arthralgias, abdominal pain, and skin pigmentation. Males account for 85% of cases
which is usually diagnosed in persons between the ages of 40 and 70 years; 98% of
patients are white.
A high percentage of patients with Whipples disease have worked in agriculture
or building trades and have had contact with the soil. Many actinobacteria are common
soil or water saprophytes and others are commensural organisms that colonize the mucosa
of humans and animals.
In typical Whipple's disease, the most severe changes are seen in the proximal
small intestine causing diarrhea, malabsorption and gastrointestinal bleeding. As
with the presented case, the most difficult cases to diagnose present with extraintestinal
disease involving the central nervous system (>90% of patients at autopsy), cardiovascular
system (∼50% at autopsy), kidneys ( ˜60% abnormal urinalysis), lung (17% on x-ray,
50% on histology), mediastinum (4-7%), and skin (pigmentation) (∼50%). A number of
cases have been reported with a sarcoidosis-like presentation.
The diagnosis of Whipple's disease is established by biopsy, usually of the
proximal small bowel. The organism has a unique membrane external to its cell wall,
resulting in a triple-wall appearance (see Panel D below).
Numerous antibiotic regimens have been used in the treatment of Whipple's disease.
Most have included initial parenteral treatment with penicillin followed by one to
two years of oral trimethoprim-sulfamethoxizole.
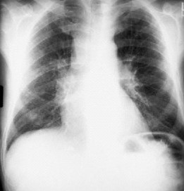
Panel A.
The chest x-ray shows widening of the superior mediastinum, aorticopulmonic window, hilar regions, and subcarinal region (left image). The CT scan shows diffuse widening of the mediastinum and hilar regions by low-attenuation fatty tissue (right image).
Panel B

The CT scan of the abdomen shows attenuation of the mesentary in a pattern of rounded, well-circumscribed nodules, 1 to 2 cm in diameter, with soft-tissue rims and fatty centers (left image). The barium enema examination shows slightly thickened folds and separated loops in the proximal small bowel (right image).
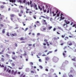
Panel C

Duodenal biopsy shows a histiocytic infiltrate distending the lamina propria of the villous tips (left image) and histiocytes with foamy cytoplasm and intracytoplasmic inclusions (right image).
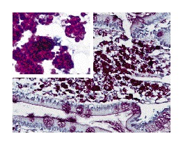
Panel D

PAS staining of histiocytes reveals rod- and sickle-shaped inclusions consistent with T. whipplelii (left image). Electron microscopy of a mediastinal biopsy reveals T. whipplelii bacilli (arrow, right image). Note the organism has a unique membrane external to its cell wall, resulting in a triple-wall appearance.
Reference: Case 37-1997. New England J. Med. 1997, 337, 1612-1617.
BONUS QUESTION: What is your diagnosis? ANSWER: Dystrichiasis. Note the patient has two rows of eyelashes - one on the external surface
and one on the inner surface of her eyelids - the latter causing constant eye irritation.
The treatment is to pluck the redundant eyelashes.

Sam Wilson West Parking Lot C...